ダイレクトボンディングのもう一つの大きな特徴は、治療がその日のうちに完了することです。
従来の被せ物やラミネートベニアでは、歯を削った後に型取りを行い、技工所で製作してもらう必要があるため、仮歯で過ごす期間が生じ、最終的な修復物が装着されるまでに数週間かかることもあります。
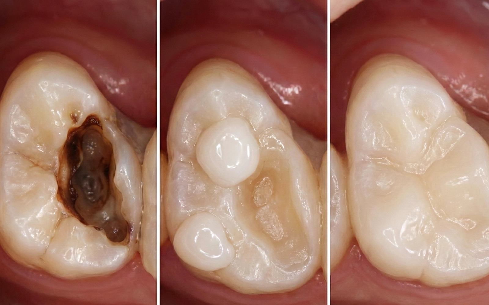
ダイレクトボンディングは、歯科用のコンポジットレジンを直接歯に盛り付けて、歯の形態や色を修復する治療法です。従来の銀歯や被せ物と異なり、歯を大きく削る必要がなく、虫歯や欠けた部分など、必要最小限の範囲だけを除去して修復できることが大きな特徴です。
歯は一度削ってしまうと元には戻りません。そのため、できるだけ健康な歯質を残すことは、歯の寿命を延ばす上で非常に重要です。
ダイレクトボンディングでは、虫歯の部分や変色した部分のみを取り除き、そこへコンポジットレジンを層状に積み重ねていくことで、自然な形と色を再現します。
この「最小限の切削」という考え方は、MI(ミニマルインターベンション:最小限の侵襲)治療と呼ばれ、現代の歯科治療において重要視されている概念です。
ダイレクトボンディングのもう一つの大きな特徴は、治療がその日のうちに完了することです。
従来の被せ物やラミネートベニアでは、歯を削った後に型取りを行い、技工所で製作してもらう必要があるため、仮歯で過ごす期間が生じ、最終的な修復物が装着されるまでに数週間かかることもあります。

ダイレクトボンディングでは、歯を削った直後にその場でコンポジットレジンを築盛(ちくせい:積み重ねて形を作ること)し、光を当てて硬化させることで、即座に治療が完了します。
この即日完了という利点は、忙しい方や何度も通院する時間が取れない方にとって大きなメリットとなります。
また、コンポジットレジンは多様な色調が用意されており、患者様一人ひとりの歯の色に合わせて調整できるため、非常に自然な仕上がりが得られます。特に前歯など目立つ部分の修復において、審美性を重視される方に適した治療法です。
当院のダイレクトボンディングでは、すべての症例において、ラバーダム防湿を行います。
ラバーダムは治療する歯だけを隔離し、唾液や湿気の侵入を完全に遮断する薄いゴム製のシートです。
コンポジットレジンは接着操作において湿気を非常に嫌う材料であり、わずかでも唾液や水分が混入すると接着力が大幅に低下してしまいます。

接着力の低下は、修復物の脱落や隙間からの細菌侵入につながり、結果として虫歯の再発(二次カリエス)を引き起こします。ラバーダム防湿により乾燥した環境を維持することで、コンポジットレジンの接着力と封鎖性を最大化し、長期的に安定した状態を保つことができます。
また、治療にはルーペやマイクロスコープなどの拡大視野を使用します。拡大視野下では、虫歯の取り残しや健康な歯質の削りすぎを防ぎ、より正確な形態再現が可能になります。特に歯と歯の間や、歯と歯茎の境界部分など、細かな部分の仕上げにおいて、拡大視野は不可欠です。
ダイレクトボンディングでは、コンポジットレジンを一度に盛り付けるのではなく、複数の色調を用いて層状に積み重ねていきます。天然の歯は均一な色ではなく、内部の象牙質の色と表面のエナメル質の透明感が重なり合って、独特の質感を生み出しています。
この自然な質感を再現するため、内部には象牙質に近い色のレジンを、表面にはエナメル質のような透明感のあるレジンを使用し、層ごとに光を当てて硬化させながら築盛していきます。
さらに、患者様の歯の特徴的な色や模様を観察し、それを忠実に再現することで、治療した部分が周囲の歯と調和した自然な仕上がりになります。
最後に、形態を整えて研磨を行うことで、滑らかで艶のある表面に仕上げます。この研磨作業も審美性と汚れの付きにくさに大きく影響するため、時間をかけて丁寧に行います。
ダイレクトボンディングとラミネートベニアは、どちらも歯の審美性を改善する治療法として混同されることがありますが、実はそもそもの治療目的が大きく異なります。
ラミネートベニアは、主に審美目的で行われる治療です。
歯の色を白くしたい、歯並びの軽度の乱れを改善したい、歯の形を整えたいといった、見た目の改善を主な目的としています。
そのため、虫歯がない健康な歯であっても、審美性を高めるために歯の表面を削る必要があります。

一方、ダイレクトボンディングは、基本的には虫歯治療の修復手段として発展してきた治療法です。
虫歯を取り除いた後の部分や、欠けてしまった歯の部分を、審美的に修復することを目的としています。
つまり、「削る必要があった部分を修復する」という点で、ラミネートベニアとは根本的に目的が異なるのです。

この目的の違いは、歯を削る量にも大きく影響します。ラミネートベニアでは、セラミック製の薄いシェル(貝殻のような薄い板)を接着するために、健康な歯の表面を一定量削らなければなりません。
セラミックの厚みを確保し、審美的に美しい仕上がりを得るためには、エナメル質を均一に削る必要があるのです。
一方、ダイレクトボンディングでは、虫歯や変色した部分、欠けた部分など、問題のある箇所のみを取り除き、そこへコンポジットレジンを盛り付けます。健康な歯質はできるだけ温存できるため、歯へのダメージを最小限に抑えることができます。
一般的に、ラミネートベニアはダイレクトボンディングよりも費用が高くなります。この費用差にはいくつかの理由があります。
まず、ラミネートベニアは歯科技工士が専用の設備で製作するセラミック製の技工物であり、材料費と技工料が発生します。
型取りから製作、装着まで複数回の通院が必要となり、その間の仮歯の製作や調整にも時間とコストがかかります。
また、セラミックという材料自体が高価であることも費用に反映されます。

ラミネートベニアとは違い、ダイレクトボンディングは、歯科医師が直接お口の中でコンポジットレジンを築盛して仕上げる方法であり、技工所での製作工程が不要です。
即日で治療が完了し、仮歯も必要ありません。使用する材料もセラミックと比較すれば比較的安価であるため、治療費用を抑えることができます。
ダイレクトボンディングは、必要最小限の切削で修復できるため、根管治療後の歯質を可能な限り保存することができます。
特に、虫歯が比較的小さく、歯質が十分に残っている場合には、ダイレクトボンディングによる修復が可能です。
当院には、歯内療法(根管治療)の専門医と補綴の専門医が在籍しており、根管治療から最終的な修復処置までを一貫して計画・実施することができます。
根管治療の段階から、その後の修復方法(ダイレクトボンディングにするか、被せ物にするか)を見据えて治療を進めることで、より精密で長持ちする結果を得ることができます。
根管治療を行う際に、どの程度の歯質を残せるか、どのような形態で削るかを、補綴医と情報共有しながら決定します。
これにより、根管治療後の修復がスムーズに進み、接着面積の確保や応力の分散など、力学的にも有利な形態に仕上げることが可能になります。
また、ダイレクトボンディング後も定期的なメンテナンスを通じて、修復部分の状態や根管治療後の経過を継続的に確認します。専門医同士が連携することで、それぞれの専門性を活かした質の高い治療を提供できる体制を整えています。
「根管治療」を見る
重度の虫歯でも歯を残す治療