インプラントやセラミック治療など、当院がこれまで行ってきた症例を実際の写真付きで紹介しております。
ぜひ一度ご覧ください。
Big in Scale. Best in Care.
横浜で開業して
80年
ドクター総数
40名以上
横浜駅西口から
徒歩8分
駐車場
77台

ここはなんでも揃っているね
鶴見歯科さんで治せないなら諦めます
よくこのようなお言葉を
患者様からいただきます。
Powered by Specialists
横浜の歯医者 鶴見歯科医院には各分野の専門医が多数在籍しています。
保険診療による一般歯科治療はもちろん、高度な技術が求められるインプラントや矯正歯科などの自由診療まで、あらゆる分野において専門性の高い治療をご提供できる体制を整えています。
すべての患者様に、安心して質の高い治療を受けていただけます。
Advanced Medical Equipment
さらに、鶴見歯科医院では医療機器にもこだわり、常に最新のものを取り揃えています。
腕の良いドクターがいれば“ベター治療”はできますが、“ベストな治療”にはなりません。
だから私たちは使用する医療機器にも一切妥協しません。
University-Grade Facilities & Team Care
横浜の歯医者 鶴見歯科医院では、子どもからご高齢の方まで幅広い世代に対応できる環境と体制を整えています。
小児専用ユニットや完全個室のオペ室、メンテナンス専用のケアルームをはじめ、院内には技工所も併設しています。治療から補綴物の製作まで一貫して高い精度で行うことができます。
また、担当衛生士制のため、患者様一人ひとりのお口の状態を継続的に見守ることが可能です。世代を問わず、安心して通える総合歯科として、あらゆる治療に対応できることが当院の強みです。

〒220-0073 神奈川県横浜市西区岡野1丁目14−1
横浜メディカルセンタービル
休診日: 木・日・祝日
5 Reasons to Choose Tsurumi Dental Clinic

Feature1
1945年、終戦直後の横浜市西区で開業した鶴見歯科医院は、80年の歴史を誇る日本でも有数の大規模歯科医院です。歯科医師40人以上、歯科衛生士20人以上、歯科技工士12人以上、総勢およそ100人からなる専門医集団へと成長しました。
しかし、規模が大きくなっても、私たちの心は変わりません。親子4代にわたって通い続けてくださるご家族も多く、「大きな病院」ではなく「横浜市内にある一つのクリニック」として、一人ひとりの患者様に寄り添い続けています。


Feature2
横浜駅西口 鶴見歯科医院には、口腔外科、インプラント、矯正歯科、審美歯科、補綴歯科、歯内療法、歯周病、小児歯科、麻酔科など、あらゆる分野の専門医が在籍しています。私たちが大切にしているのは「治療はかけ算」という考え方です。
一人の歯科医師だけでなく、必要に応じて複数の専門医がカンファレンスを行い、それぞれの視点からあなたにとっての何がベストなのかを考えます。
難しい症例も、他院で断られた治療も、当院であれば専門チームによる包括的な治療を院内で受けられるので、全て当院だけで完結します。
Feature3
マイクロスコープ、歯科用CT、レーザー、CAD/CAMシステム——最新のデジタル技術を積極的に導入し、検査から治療、メンテナンスまで、すべてがデジタルでつながっています。
デジタル技術により、治療の説明が格段に分かりやすくなり、患者様がその場ですぐ納得できる環境を実現します。さらに、先進的な医療機器を使用することで、再現性の高い精密な治療を実践できます。高い技術力と、温かいおもてなしの心、その両方をあなたに届けます。


Feature4
歯科治療は、「診療室があればできる」ではありません。インプラント手術には完全個室の清潔なオペ室が、予防・メンテナンスには専用のケアルームが、そして小さなお子さまには、緊張しない環境が必要です。
鶴見歯科医院では、一般歯科診療室のほか、インプラント専用の完全個室オペ室、術後にゆっくりお休みいただけるリカバリールーム、予防・メンテナンス専用のケアルーム、小児歯科用の診療室、プライバシーに配慮したカウンセリングルームをご用意しています。
「それぞれの用途に特化した空間を整えることが、治療の質と、あなたの安心につながる」と考えているからです。
Feature5
鶴見歯科医院には、12人の歯科技工士が常駐する院内技工所があります。これは他のクリニックにはない大きな強みです。
入れ歯、詰め物、被せ物などの補綴物を、技工士が直接患者様のお口の状況を見ながら作製できるため、微妙な調整もその場で対応可能。
通常なら数週間かかる治療期間の短縮や、より精密なフィット感の実現など、院内技工所だからこそできる質の高い治療を提供します。あなたの時間を無駄にしない、効率的で正確な治療をお約束します。

当院は「専門医が集まる総合歯科」
というコンセプトのもと、
大学病院レベルの高度な治療を
実現するため、
各診療分野の専門医が連携しています。
常に研鑽を重ねながら、満足できる医療を
提供できる体制を整えております。
横浜駅西口の歯科医院、鶴見歯科医院 院長の一瀬と申します。
鶴見歯科医院は、横浜市内にお住まいのたくさんの方々のおかげで、横浜駅西口に開業して80年以上経ちました。近頃は横浜市外、さらには県外からも多くの患者さんにお越しいただいております。
鶴見歯科医院は、開業してから常に良い治療をお届けすることを最優先に考え、設備の最新化や、ドクターの採用・教育に力を入れ、今ではあらゆる分野の専門医が在籍し、大学病院レベルの歯科クリニックに成長したと自負しております。
しかし、規模が大きくなったからといって、私たちがやるべきことは変わっていません。
鶴見歯科医院にご来院いただく患者さん一人一人に寄り添い、その人の希望や理想に合わせた治療を提供することが、私たちが最も大切べきにすることだと考えております。
患者様に「喜んでもらえる治療」を提供するために、患者様の視点に立ち、しっかりと噛める、話せる、口を開けて笑えるなどのたくさんの喜びを提供できる医院でありたいと思っております。まずは、患者様の話をしっかりと聞き、言葉の裏にある本当の願いを見定めてから、ご納得いただけるような治療を提案します。

主訴の解決はもちろんのこと、理想的な治療計画・現実的な治療計画と様々な提案をひとりひとりの患者様に寄り添って考えていきたいと思っています。
日本歯科大学生命歯学部 卒
厚生労働省認定
歯科医師臨床研修医 指導医

部分的な治療だけではなく先を見据えた口腔全体の治療や、できるだけわかりやすく丁寧に患者様にご説明すること、不安や恐怖心がないよう治療する事が大切だと思っています。
日本歯科大学新潟生命歯学部 卒
厚生労働省認定
歯科医師臨床研修医 指導医

患者様ご自身をしっかり診ることを心がけています。患者様の気持ちに寄り添い今ある症状を丁寧に診査・診断すると共に、できるだけわかりやすい言葉でご説明し、治療していくことを心がけています。
奥羽大学歯学部 卒
厚生労働省認定
歯科医師臨床研修医 指導医

患者様が楽しんでお食事ができ、美しくにっこりと笑える口腔環境を提供したいと考えております。
お話をよく伺い、ご提案する治療法をご理解いただいた上で、ベストな治療を共に進められるよう心がけています。
日本歯科大学新潟生命歯学部 卒
厚生労働省認定
歯科医師臨床研修医 指導医

PHILOSOPHY

Your Smile, Our Happiness
横浜に開業した鶴見歯科医院の歴史は、誠実な診療と理解ある患者様との共同作業により積み上げてきた信頼の結果だと思っています。
日々の診療では待たせない歯科治療、来院回数を少なくする歯科治療、患者様サイドに立って考える歯科治療を目指します。
歯科総合医院として地域医療に貢献し、患者様の笑顔を私たちの喜びと考え、進歩する歯科医療に日々研鑽を怠らず時代のニーズに応えてまいります。

No.1
それが私たちの治療です
患者様に安心して納得のいく治療を受けていただけるように、インフォームドコンセント(十分な説明と同意)を大切にし、丁寧な治療を日々心がけています。大規模な歯科総合医院でありながら、一人ひとりの患者様と距離の近い、気軽に相談できる歯医者さんであること、それが私たちの願いです。疑問や不安があれば、どんな小さなことでも遠慮なくお話しください。

No.2
あなたの口の健康を、ずっと見守ります
鶴見歯科医院では、約100名のスタッフ全員が担当制で患者様に向き合っています。担当の歯科医師だけでなく、担当の歯科衛生士もつきますので、あなたのお口の状態を長期的に把握し、一貫した治療とメンテナンスを提供できます。「いつも同じ先生、同じ衛生士さん」だからこそ、安心して任せていただけます。

No.3
すべての器具を最高水準で滅菌しています
鶴見歯科医院では、ヨーロッパ基準で最高ランク「クラスB」のオートクレーブLISAと、ハンドピース専用洗浄・滅菌器DACユニバーサルを導入しています。あらゆる器具を徹底滅菌できる高性能システムにより、より安全な治療を受けていただくための衛生管理体制を整えております。目に見えない部分だからこそ、妥協しません。
Treatment

1ミリ単位のずれやほんの少しの
色調の不調和も許さない美しさにこだわる
審美歯科


補綴専門医の高度な技術と
精密な治療計画による安心の
インプラント治療


見た目の美しさと
正しい噛み合わせを両立する機能的な
矯正歯科

Prosthetic Teeth Treatment
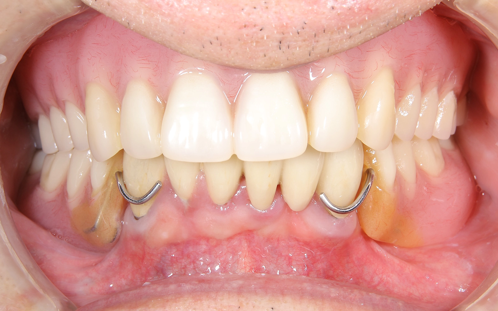
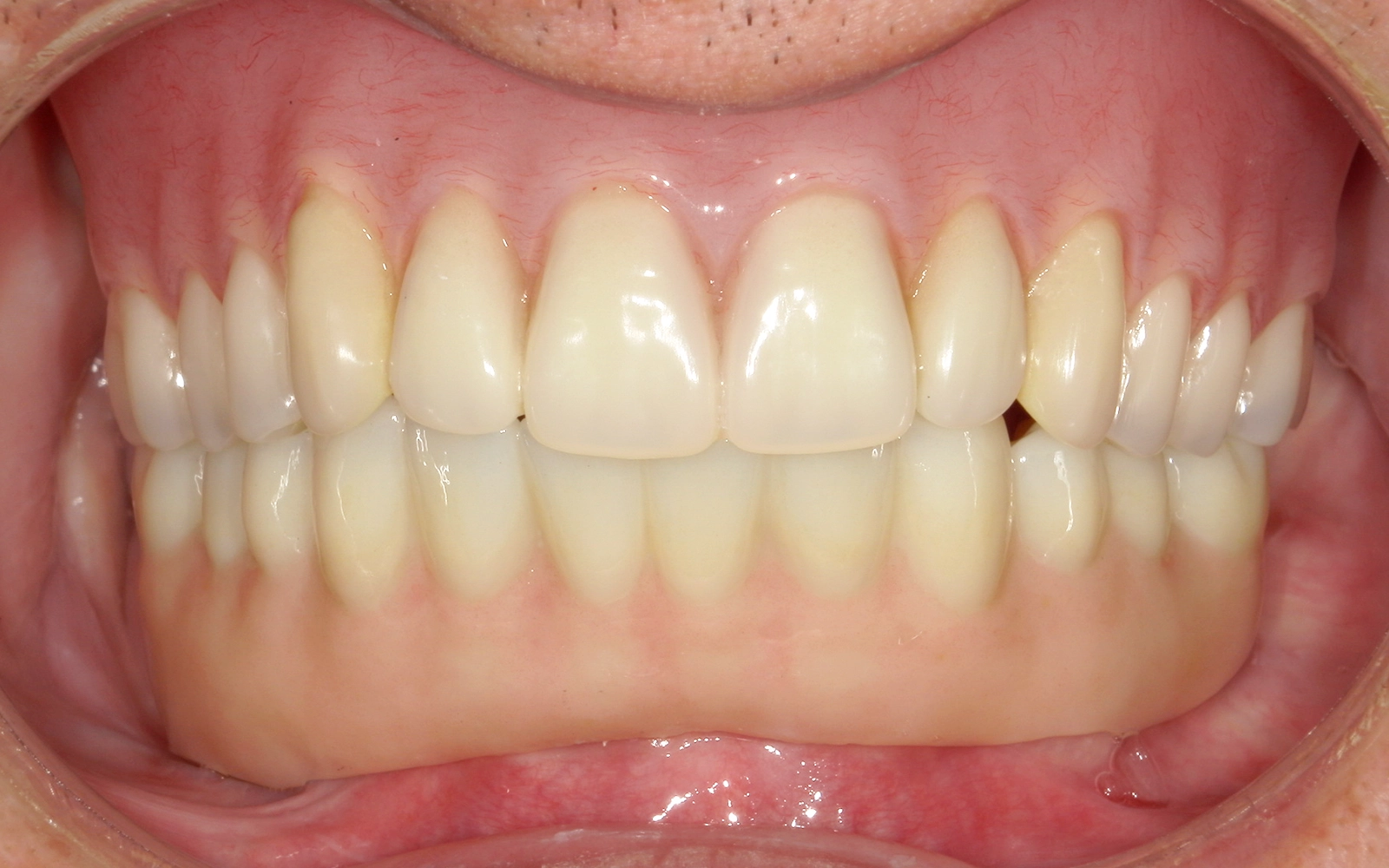
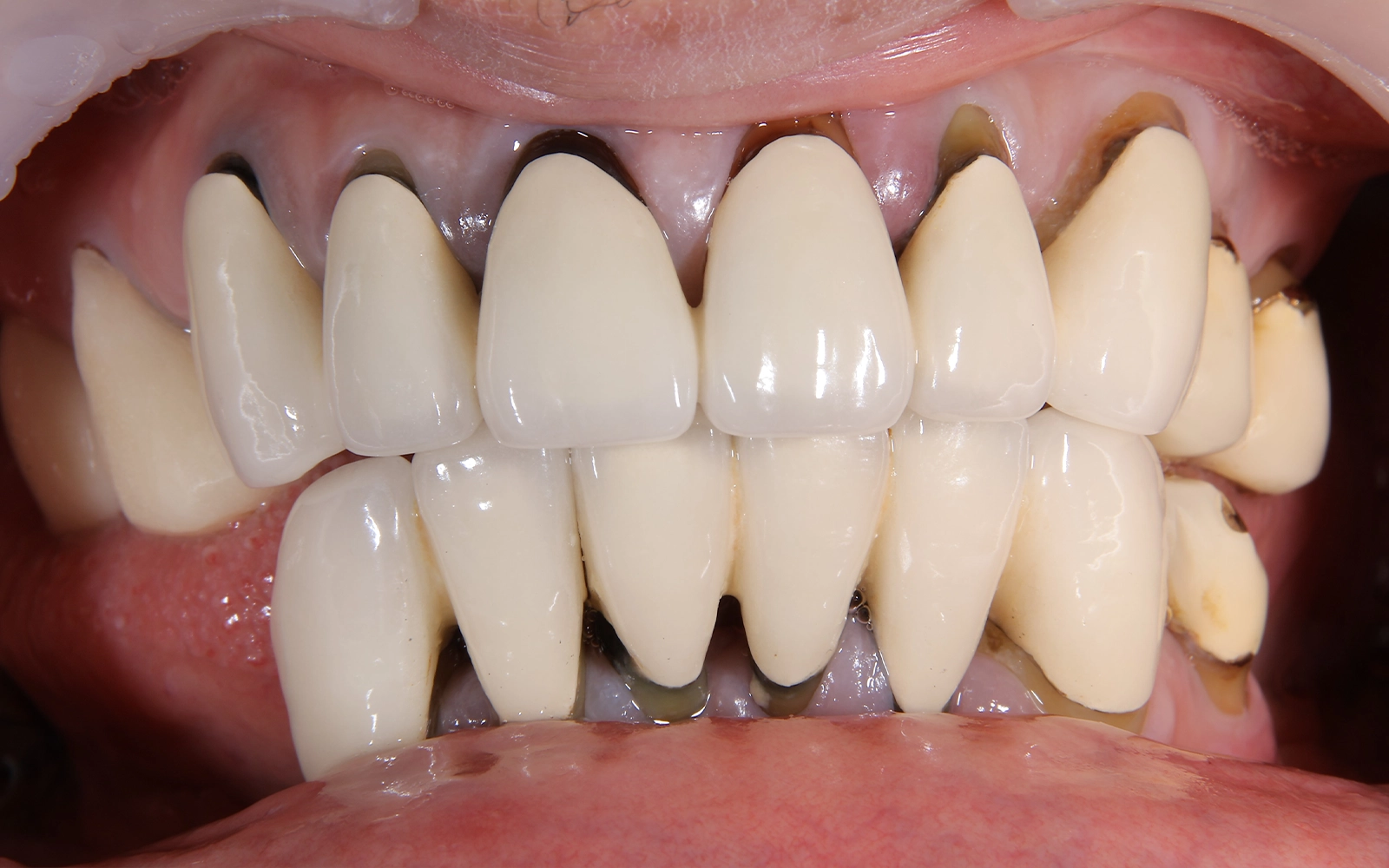
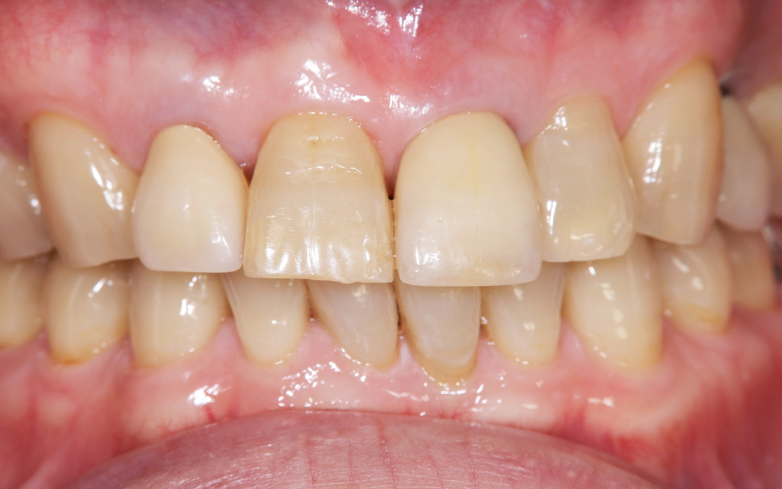
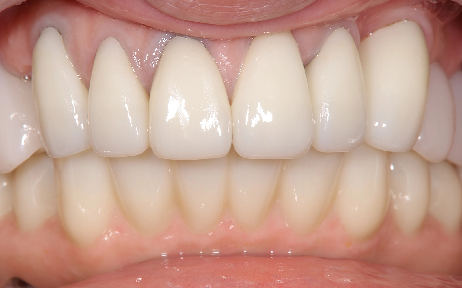
補綴(ほてつ)とは、失われた歯や損なわれた歯を、クラウン(被せ物)・ブリッジ・入れ歯・インプラントなどで人工の歯で補う治療です。見た目の美しさはもちろん、噛む機能を回復させ、お口全体のバランスを整える重要な役割を担います。
もし、隣の歯と比べて色調や形が異なっていると、人工歯であることが目立ち、話したり笑ったりして口を開けることが億劫になってしまいます。
当院の強みは、院内に技工所を完備していることです。技工士が患者様から直接お話を伺い、お一人おひとりのご要望や細かなニュアンスを反映した補綴物を製作します。一般的な歯科医院では外部委託が多い中、この体制により精度の高い治療を実現しています。
さらに、口腔内スキャナー(プライムスキャン・トリオス・iTero)とセレックを活用した1day治療にも対応。補綴専門医も在籍し、機能性と審美性を両立した最適な治療をご提供します。
Case







厚生労働省の調査によると、病院歯科における歯科医師の常勤数の中央値は2〜3人、外来ユニット数の中央値は4台(75パーセンタイルで5台)とされています。一般の歯科診療所ではさらに規模が小さく、歯科医師1名の個人診療所が大多数を占めます。
歯科医師数は、30%がいわゆる1人医長、40%ほどが2〜3人。外来のユニット数は、3〜5台が中心となっている
厚生労働省「歯科医療提供体制等に関する検討会」提出資料(令和7年) (出典PDF)
一方、鶴見歯科医院には歯科医師40人以上、歯科衛生士20人以上、総勢およそ100名のスタッフが在籍し、ユニット数は40台を誇ります。こうした規模は、一般的な歯科診療所はもちろん、多くの病院歯科をも大きく上回るものであり、当院が「大学病院レベルの医療体制」を実現する、日本でも有数の大型歯科医院、日本最大の歯医者である理由です。