前歯をやりなおしたい
過去に他の医院で受けた前歯の被せ物の治療をやり直したいというお悩みで当院を受診されました。というのも、修復物(被せ物)がよく脱離してしまい、強い不満を長い間抱えていたからです。
そして、前歯という目立つ部位であることから、見た目の回復と同時に、長く使える状態に整えたいとのことでした。

過去に他の医院で受けた前歯の被せ物の治療をやり直したいというお悩みで当院を受診されました。というのも、修復物(被せ物)がよく脱離してしまい、強い不満を長い間抱えていたからです。
そして、前歯という目立つ部位であることから、見た目の回復と同時に、長く使える状態に整えたいとのことでした。

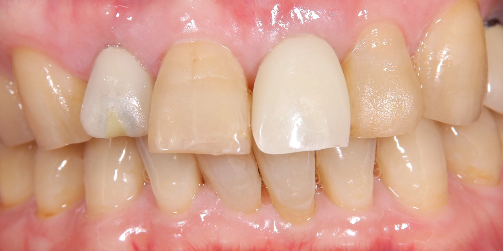
治療前の口腔内写真を確認すると、上顎前歯部には変色した大きな被せ物が複数装着されており、歯肉の広い範囲にわたって赤みと腫れが認められました。慢性的な炎症が長期間にわたって続いていた状態と考えられました。
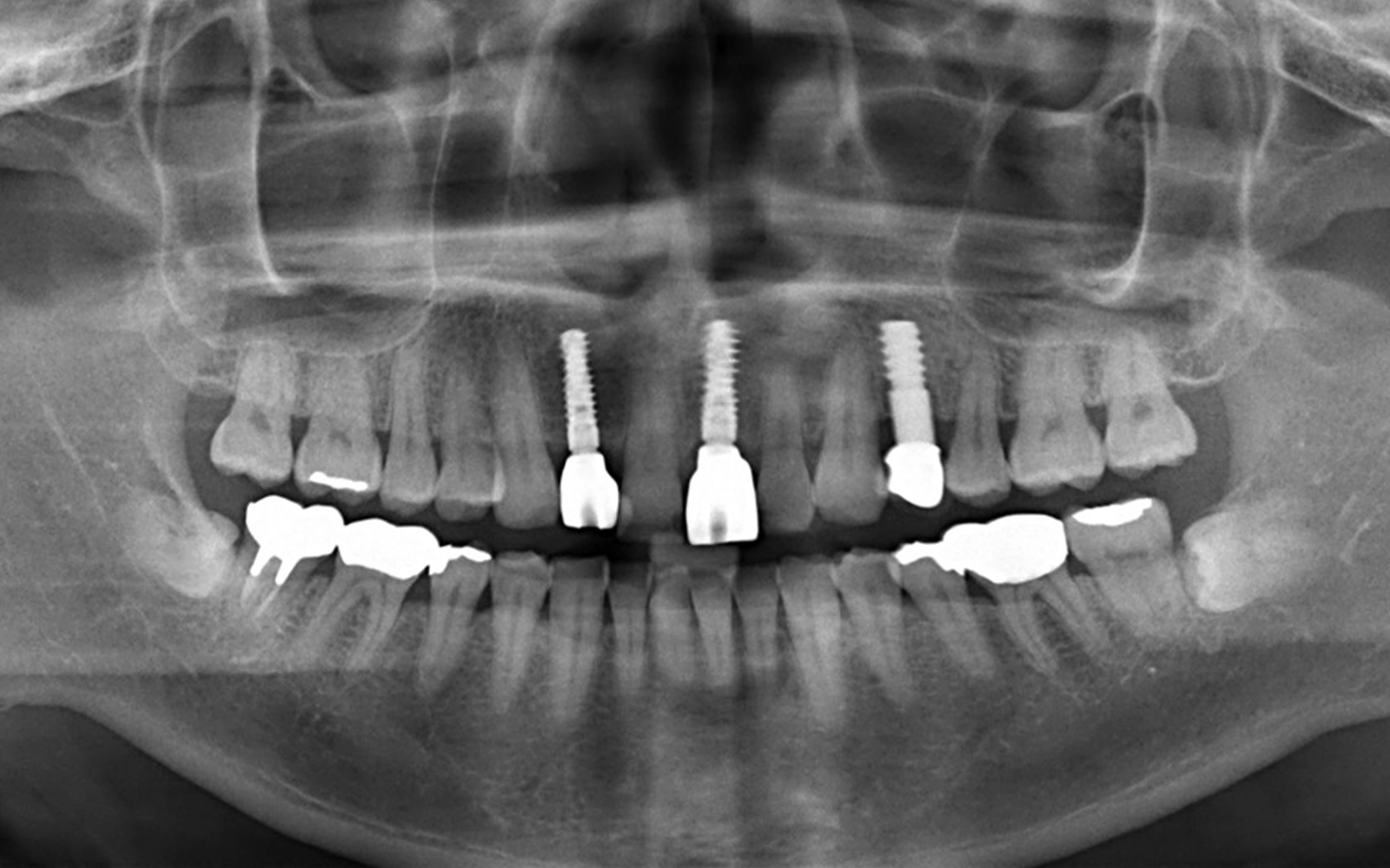
レントゲン写真でも、前歯部(右上2番・左上1番)の歯根周囲の状態から、これらの歯を保存することが難しいと判断しました。
一方で、周囲の骨の状態を確認したところ、抜歯と同時にインプラントを埋め込むための条件が整っていると判断できたため、できる限り骨や歯肉へのダメージを最小限に抑える治療として、抜歯したその日にインプラントを埋め込む「抜歯即時埋入」を選択しました。
通常のインプラント治療では、歯を抜いた後にいったん骨の回復を待たなければならず、この期間が数ヶ月ほど必要です。この長い時間を空けた後、ようやくインプラントを埋入することができます。
しかし、抜歯後に時間が経つと、骨や歯肉は自然に吸収されて痩せていきます。これはインプラントを支える土台が失われることを意味します。
「抜歯即時埋入」は、抜歯した穴をそのままインプラントを埋める場所として利用するため、こうした骨・歯肉の変化を最小限に抑えることができます。特に前歯部では歯肉のラインが見た目に直結するため、骨や歯肉をできるだけ保つことが仕上がりの美しさにも影響します。
埋入直後にインプラントが骨にしっかり固定される力(初期固定力)が得られること、また骨の量・質が一定の基準を満たすことが必要です。全員に適応できるわけではありません。
レントゲン撮影と歯周組織の検査を行い、骨の量・質・歯根の状態を確認しました。抜歯即時埋入が適応できるかどうかを慎重に判断し、患者様に治療方針を丁寧にご説明しました。
この段階でCT撮影を行い、埋入位置を緻密に決定していきます。
麻酔下で右上2番・左上1番を丁寧に抜歯しました。抜歯後の穴(抜歯窩)は次のステップでインプラントを入れる場所になるため、骨や歯肉へのダメージを最小限に抑えるよう慎重に処置しました。
サージカルガイドは、インプラントを骨の中に正確に埋め込むための道具です。治療計画で決めた位置通りにインプラントを埋入するために、サージカルガイドを装着しました。
抜歯した穴をそのまま利用して、チタン製のインプラント(人工歯根)を骨の中に埋め込みました。埋入直後に十分な固定力が得られていることを確認しながら処置を進めました。
インプラント周囲の骨が不足している部分に骨補填材(骨の代わりになる材料)を詰め、骨の再生を促す「GBR(骨再生誘導法)」を同時に行いました。
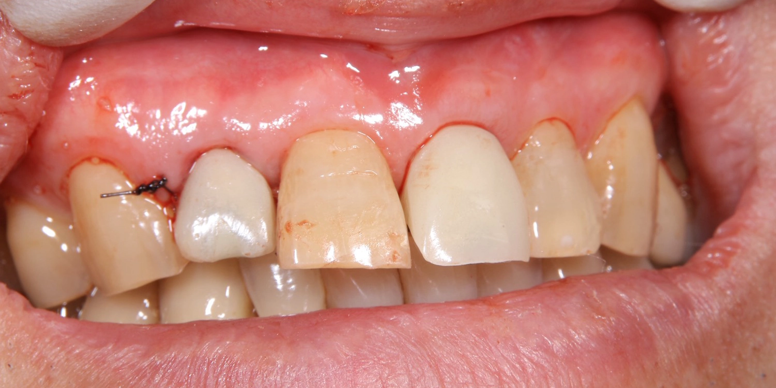
インプラント埋入後、その日のうちに仮歯を装着しました。前歯がない状態になる期間はありません。
インプラントが顎の骨としっかり結合するのを待ちます。この間も仮歯を使用していただけます。定期的に来院していただき、レントゲンや口腔内写真で状態を確認します。
こちらの写真は術後1週間ほど経過した後の様子になりますが、仮歯の状態でも全く問題ございませんでした。
インプラントと骨がしっかり結合したことを確認した後、右上2番・左上1番に最終的な被せ物を装着するための型取りをスキャナーを使用して行いました。
インプラントと骨がしっかり結合したことを確認した後、右上2番・左上1番に最終的な被せ物を装着しました。
治療前の写真では、上顎前歯部の歯肉に広範囲にわたる赤みが認められます。
歯肉が腫れた状態が続いていたことで、歯と歯肉の境目のラインも乱れており、前歯全体として整った印象とは言いにくい状態でした。
治療後の写真と比較すると、歯肉の赤みが落ち着き、引き締まった状態になっていることがわかります。歯肉の境目のラインや色調も整い、前歯部として自然な見た目に近づいています。
インプラント周囲の歯肉が健康な状態で安定していることは、長期的な予後を考える上でも重要なポイントです。
レントゲン写真では、当院で治療した「2本のインプラント体」が骨の中にしっかりと埋入されていることが確認できます。(*治療前のレントゲン写真を見るとわかる通り、当院で治療する前から1本インプラントが入っていたので、治療後は合計3本のインプラントが埋め込まれていることになります。)
そして、インプラント(写真内に写っている白いネジ状の物体)の周囲に骨が十分に存在しており、骨吸収(骨が溶けて減ること)は認められません。
抜歯と同時に埋入を行ったにもかかわらず、周囲の骨がしっかりと保たれていることは、抜歯即時埋入の大きな利点です。
この黄色線がスキャロップ
治療後は隣の歯と光沢が調和した
矢印の中央の歯の色調と
左右のそれぞれの被せ物の色調を揃えた
本症例では、前歯という審美的に重要な部位において、抜歯即時埋入という術式を選択しました。
この方法の最大の目的は、抜歯後に起こる骨・歯肉の変化を最小限に抑えることです。
前歯部では歯肉のラインが仕上がりの見た目に大きく影響するため、骨や歯肉をできる限り守ることが、長期的に自然な見た目を維持するうえでも重要と考えています。
一方で、抜歯即時埋入はすべての患者様に適応できる術式ではありません。
埋入直後にインプラントが骨にしっかり固定される力(初期固定力)が得られるかどうかを精密に評価した上で、適応を判断しています。
治療の選択肢とそれぞれの利点・リスクについて患者様に十分ご説明し、ご納得いただいた上で治療を進めることを大切にしています。
| 治療時期 | 2024年4月 |
|---|---|
| 主訴 | 前歯を再治療したい |
| 治療期間 | 3ヶ月 |
| 治療費 | 前歯の抜歯即時埋入 100万円 |
| リスク | インプラント周囲炎 |