全体的に噛めない・食事がしずらい
全体的にうまく噛めなくなってきた、ということを主なお悩みとしてご来院いただいた症例です。
長期にわたって口腔内の状態が悪化していたため、食事を十分に楽しめない状況が続いていました。

全体的にうまく噛めなくなってきた、ということを主なお悩みとしてご来院いただいた症例です。
長期にわたって口腔内の状態が悪化していたため、食事を十分に楽しめない状況が続いていました。

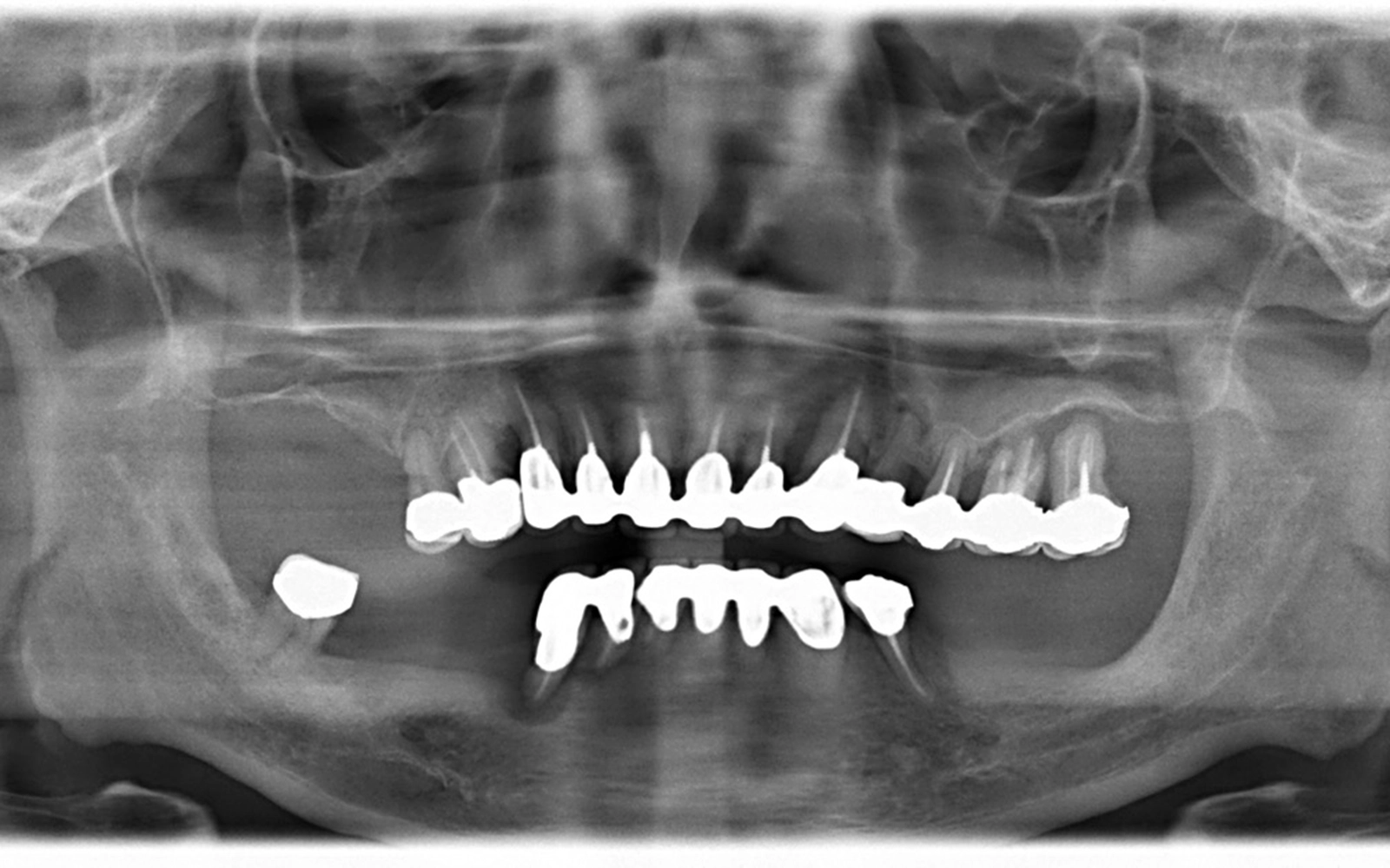
レントゲン写真では、上顎に多数の金属製の被せ物が確認できます。レントゲンでは密度の高い金属や骨は白く写り、骨が溶けて減ってしまった部分は黒く(暗く)写ります。
歯を支える骨(歯槽骨)が健康な状態では、骨が歯の根元近くまで存在しているため、根っこの部分はあまり見えません。しかし骨が溶けて減ってしまうと、その部分がレントゲン上で黒く写るようになり、歯の根っこが長く露出して見えるようになります。これが骨の吸収を確認するための見方です。
この写真では上下顎ともにその状態が見られます。特に下顎は残存している歯が少なく、骨の吸収も広い範囲に及んでいるため、残っている歯での噛み合わせの維持が難しい状態でした。
「噛めない」というお悩みを根本から解決するために、下顎にはオールオン4(顎の骨に4本のインプラントを埋め込み、その上に全部の歯をひとつなぎにした固定式の被せ物を装着する治療法)を計画しました。
上顎については、精密検査の結果、保険診療の範囲内で機能と見た目の両方を十分に回復できると判断し、保険診療による再生療法と補綴治療(被せ物を用いて歯の形・機能を回復させる治療)を選択しました。
レントゲンおよびCT検査(骨の量や形を立体的に確認できる検査)で骨の状態を精密に確認したうえで、インプラントを埋め込む位置・角度を設計しました。
同時に、最終的な被せ物の形・色・噛み合わせを上下一体で設計し、機能と見た目の両立を図りました。
オールオン4(All-on-4)は、総入れ歯をお使いの方や、多くの歯を失った方を対象とした、特殊なインプラント治療法です。
従来のインプラント治療では、失った歯の本数分だけインプラントを埋め込む必要がありましたが、オールオン4では、わずか4〜6本のインプラントで、片顎すべての歯(12本分)を支えることができます。
CT検査を含む精密検査を行い、骨の量・形・密度を三次元的に確認しました。
下顎のインプラントを埋め込む本数・位置・角度を決定するとともに、上顎の保険診療による補綴治療の計画も同時に立案し、患者様に丁寧にご説明しました。
下顎に4本のインプラントを埋め込む外科処置を行いました。処置後すみやかに仮の歯を装着することで、治療期間中も歯がない状態で生活していただく必要がないよう配慮しました。
上顎については、既存の歯の処置を並行して進めながら、歯茎や歯を支える骨の状態を改善するために、リグロス(歯周組織の再生を促す薬剤のこと。本症例では保険適用内)を用いた再生療法を実施しました。
歯周組織(歯を支える歯茎や骨などの組織)の回復を図ることで、その後の被せ物治療をより安定した状態で行えるよう準備しました。
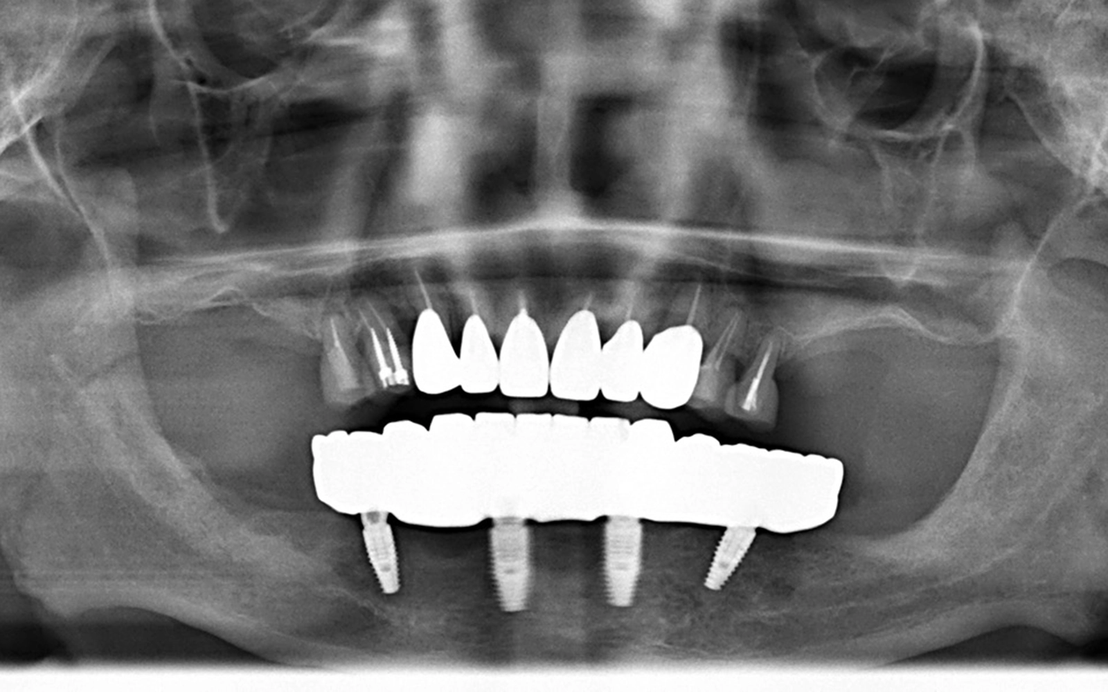
インプラントと骨がしっかりと結合したことを確認した後、下顎に最終的な固定式の被せ物を装着しました。
上顎も保険診療による最終的な被せ物を装着し、上下の噛み合わせを慎重に調整して治療を完了しました。
治療前後の写真を比較するとわかる通り、治療前は歯列の乱れ・歯茎の退縮と黒ずみ・歯の変色が顕著で、歯の形や大きさも不揃いでした。上下の歯が均一に噛み合っておらず、口腔内の状態は複雑でした。
治療後は、上下顎ともに歯の形・大きさ・色が揃い、整った歯列が回復しています。歯茎の状態も改善され、歯と歯茎の境目が健康的な状態になっていることが見てとれます。固定式の被せ物が上下顎に装着されたことで、口元全体のバランスが整い、機能面・見た目の面ともに大きく改善されています。
治療前後のレントゲン写真を比較すると、治療前は上下顎ともに歯を支える骨(歯槽骨)の吸収が進んでおり、歯の根元が長く露出して見える状態でした。
下顎は残存している歯が少なく、骨の減少も著しいため、そのままの状態での噛み合わせの維持が難しい状況でした。
治療後は、下顎に4本のインプラント体が埋め込まれ、前方の2本は顎の骨に対してまっすぐに、後方の2本は骨の形状を活かして斜めに配置されていることが確認できます。その上に一体型の固定式の被せ物がしっかりと装着されており、骨とインプラントが安定した状態で結合していることが見てとれます。
上顎についても被せ物が整った形で装着され、上下の歯列全体としてバランスの取れた噛み合わせになりました。
この症例では、「全体的に噛めない」というお悩みに対し、下顎のオールオン4と上顎の保険診療による補綴治療を組み合わせた、口腔内全体の機能回復を行いました。
治療にあたって特に重視したのは、インプラントを埋め込む位置・角度の精密な設計と、上下の噛み合わせのバランスを同時に整えることです。下顎のオールオン4は固定式であるため、患者様が自分の歯と同じ感覚で使えることを目標に最終的な被せ物を設計しました。
上顎については、精密検査の結果、保険診療の範囲内で十分な回復が見込めると判断しました。保険診療だからといって見た目を妥協することなく、歯の形・色・バランスにこだわりながら仕上げています。
患者様からは、治療後、しっかり噛めるようになったとお聞きしております。
患者様のご要望と口腔内の状態を丁寧に確認し、最適な治療計画を立案・ご説明・実施することが、担当医としての責任であると考えています。この症例においても、その責任を果たすべく誠実に治療に臨みました。
| 治療時期 | 2025年3月 |
|---|---|
| 主訴 | 全体的に噛めない |
| 治療期間 | 4ヶ月 |
| 治療費 | 下顎のオールオン4 300万円 上顎の治療 保険適用(リグロスによる再生療法を含む) |
| リスク | インプラント周囲炎 |